

McLaren driver Oscar Piastri has revealed that he had been racing with a serious injury in the final races before the summer shutdown – including his maiden victory in Hungary over team mate Lando Norris.
In an Instagram post on Sunday morning, Piastri wrote: “First part of the season done. First GP victory. First broken bone. Rib’s enjoying the break.”
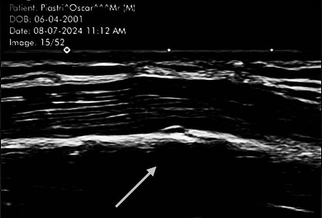
Piastri added no further details, but he did include a picture of what appeared to be an ultrasound scan suggesting that he had suffered a fracture to his sixth rib. It bore the date of July 8, the day after the British GP.
That was just under two weeks before he raced in Hungary suggesting that he would still have been in significant discomfort if not considerable pain as he crossed the finish line at the Hungaroring.
At the time, Piastri’s muted celebrations were put down to the controversial way in which team orders had forced Norris to move aside to let Piastri take victory, but now it seems that he might simply not have been feeling great.
The result meant Piastri is the eighth-youngest GP winner in history at the age of 23 years and three months, after winning last year’s Qatar sprint and finishing on the podium four times in 2024 to put him fourth in the standings.
Earlier in the season, Carlos Sainz also raced to victory in Australia just two weeks after undergoing surgery for appendicitis which had forced him to miss the race in Saudi Arabia with Ferrari reserve driver Ollie Bearman stepping in at short notice.
© Instagram/Oscar Piastri
Last year, Daniel Ricciardo missed five races at AlphaTauri (now VCARB) after breaking a bone in his hand during practice, with Liam Lawson sitting in for him until the injury was healed.
Piastri’s fractured rib is unlikely to have any long term consequences and the Australian should be back in peak condition in time for the Dutch GP at Zandvoort, the first race after the summer shutdown.
Former Red Bull driver Mark Webber, who now manages Piastri’s F1 career, has spoken of his protege’s unique talent and mindset which he believes makes the youngster world champion in waiting.
“It’s been enjoyable working closely with him,” Webber told PlanetF1 this week. “He’s obviously a very special talent. He knows what’s right for the future, to continue to unleash that talent.

“Potential is a word I hate. Potential is whatever potential is. But you need to make sure that you go out and he knows actions speak louder than words and that’s how he operates.
“He’s had a very, very special start to his career,” Webber added, comparing Piastri to the original Aussie motor racing great. “Jack Brabham was the original, he showed us the way in, and in more ways than one.
“Australians love racing,” he added. “In terms of pound for pound, it’s a country where we just love our Formula 1.
“We’re in safe hands for the future obviously. Oscar is just starting his career out, which is awesome,” he said. “There’s not many guys that have won at that level.
“Especially with just how sensitive the cars are now and how tight the times are, which is really a credit to him that he’s been able to hang out there, week in week out.”
Keep up to date with all the F1 news via Facebook and Twitter
The post ‘Very special talent’ Piastri reveals ‘first broken bone’ in F1 appeared first on F1i.com.